Dental aesthetics
Dental aesthetics
Home
Who we are
Works
Contact
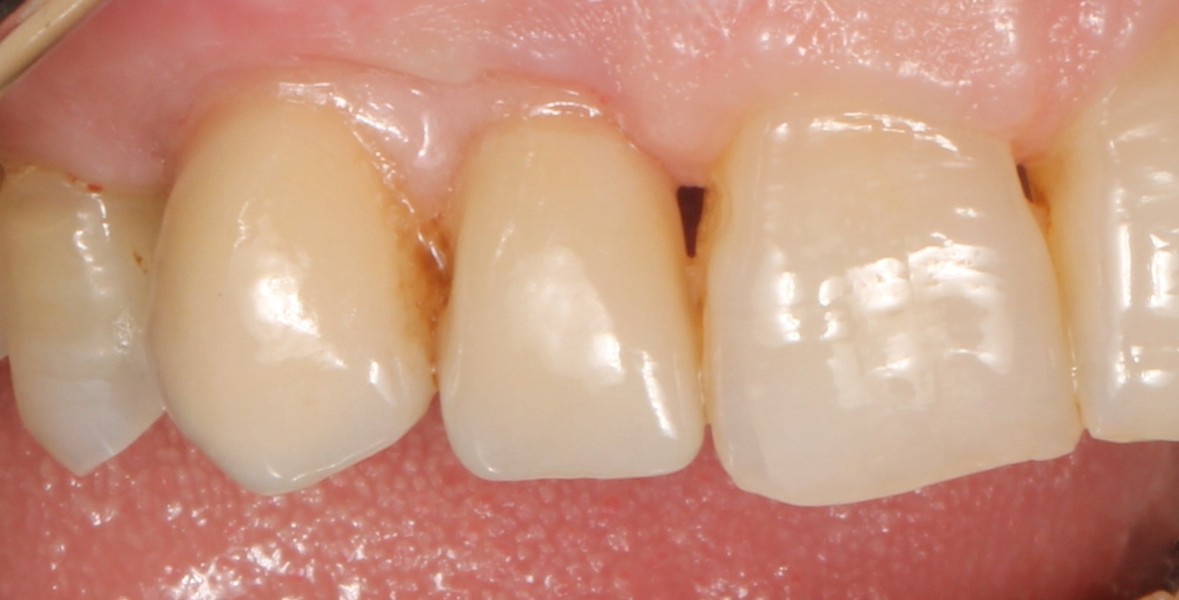
Works in the mouth
Characterizations
Veneers
Gums
Demostration
Works in the mouth
Rehabilitations